• 医脉通首页
  • 软件中心
  • 频道导航
    • 资讯
    • 病例
    • 专题
    • 圈子
    • 指南
    • 期刊文献
    • 诊疗知识库
    • e信使
    • e讲堂
    • e调研
    • 会议
    • 医生工具
    • 互助区
  • 登录
  • 注册
格格2的医脉通
日志
  • 资料
  • 说说
  • 话题
  • 收藏
  • 指南
  • 知识库
  • 期刊文献

鞍上及松果体区生殖细胞瘤

2012-04-10 阅读(600) 分享(0)

【简要病史】

男,12岁。性早熟、视力减退2年、尿量增多半年。体检:双眼上视受限、双眼颞侧视野缩小。实验室检查尿比重降低。

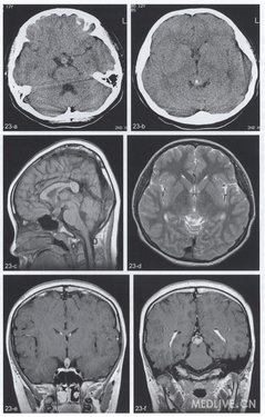
【CT与MRI所见】

CT平扫(图23a,b)示鞍上池与松果体区各见一结节状稍高密度结节,最大径分别为1.3cm与1.9cm,松果体区肿块包绕松果体钙化并压迫第三脑室后部。MRI(图23c,d):上述肿物呈T1WI稍低信号及T2WI等信号,矢状位显示鞍上区肿物祟及漏斗和垂体柄,增强T1WI(图23e,f)肿块大部明显强化,鞍上肿块下部及松果体区肿块上部强化不明显。

【手术后病理诊断】

(鞍上肿块手术)生殖细胞瘤。

【病理与临床特点】

生殖细胞瘤( germinoma)属于生殖细胞来源肿瘤,约占颅内肿瘤1%~2%。该类其他肿瘤还包括畸胎瘤、绒癌、内胚窦瘤、胚胎癌及混合性生殖细胞肿瘤。生殖细胞瘤曾称为非典型性畸胎瘤,约占生殖细胞肿瘤75%,为松果体区最常见肿瘤(约40%~50%)。发病年龄为10~30岁,高峰年龄为10~20岁。好发部位为颅内中线区,包括松果体区(50%~65%)、鞍上区(20%~35%),脑实质内者好发于丘脑与基底核区(不足10%),偶见脑室内、鞍内、延髓及小脑半球的病例报道。松果体区者男性明显多于女性,而鞍上区者女性较多。

【影像学特点】

特征为松果体区肿块包绕松果体及鞍上肿块,伴尿崩。CT为边缘清楚的稍高密度肿块,位于第三脑室后方的松果体区者包绕松果体钙化(如本例)或使之破坏。位于鞍上者见于视交叉后方,无囊变与钙化。增强扫描一般强化显著及均匀。但较大肿瘤、尤其是位于基底核一丘脑区者常可见囊变、坏死及出血,因此密度不均匀。MRI检查肿瘤信号缺乏特征性,各序列上信号强度近似脑皮质,偶见T1WI高信号及T2WI低信号。T1WI-般与灰质等信号或稍高信号。T欧式I为等至高信号,等信号原因是肿瘤细胞密集及核质比大。FLAIR序列肿瘤信号稍高于脑灰质。T2*WI及SWI上钙化及出血为低信号。DWI上因水分子扩散受限而呈高信号。增强T1WI显示肿瘤均匀及明显强化。MRS显示Cho峰增高、NAA峰下降,伴或不伴Lac峰增高。松果体生殖细胞瘤还可侵犯第三脑室,导致脑脊液播散,增强扫描可见室管膜与脊膜增厚与结节状强化。

【鉴别诊断】

不同部位者鉴别诊断不同。
松果体区者:①松果体其他生殖细胞来源肿瘤,如绒癌、内胚窦瘤、胚胎癌、畸胎瘤,这些肿瘤影像学更不均匀,钙化明显,可见出血,畸胎瘤内见脂肪成分;②松果体母细胞瘤及松果体细胞瘤,使松果体钙化分散而非包绕;③其他肿瘤,如胶质瘤、转移瘤、脑膜瘤、视网膜母细胞瘤侵犯松果体。
鞍上者:①颅咽管瘤,囊性或囊实性,钙化明显;②下丘脑与视交叉胶质瘤,常为毛细胞性星形细胞瘤,强化明显,一般无尿崩;③其他:包括PNET.鞍上区错构瘤、蛛网膜囊肿、Langerhans细胞组织细胞病、结节病、转移瘤。
基底核与丘脑的生殖细胞瘤主要需与淋巴瘤及胶质瘤鉴别。

【简要讨论】

青少年松果体区与鞍上区肿块,伴视力改变、尿崩及性早熟者首先考虑生殖细胞瘤,CT可显示肿瘤包绕松果体钙化,但MRI对鞍上肿瘤及脑脊液轴肿瘤播散显示更好。本病对放疗极其敏感。

http://webres.medlive.cn/upload/000/078/821

 

 


 

所属分类: 鞍上及松果体区生殖细胞瘤

分享到: QQ空间 新浪微博 人人网 微信 更多
暂无评论
表情  医友
同时分享

格格2

粉丝:1

关注:1

日志分类

  • 全部日志(24)
  • 个人日志(0)
  • 囊性脑膜瘤(1)
  • 小脑血管网状细胞瘤(1)
  • 幕上原始神经外胚层(1)
  • 髓母细胞瘤(1)
  • 脑实质伯基特淋巴瘤(1)
  • 脑淋巴瘤样肉芽肿(1)
  • 脑干胶质瘤(1)
  • 鞍上及松果体区生殖(1)
  • 右小脑半球精原细胞(1)
  • 脑膜黑色素细胞瘤(1)
  • 黑色素瘤(1)
  • 垂体微腺瘤(1)
  • 垂体大腺瘤(1)
  • 侵袭性垂体瘤(1)
  • 颅咽管瘤(1)
  • 海绵窦脑膜海绵状血(1)
  • 斜坡脊索瘤(1)
  • 脑转移瘤(1)
  • 柔脑膜转移瘤(1)
  • 神经节细胞瘤(1)
  • 表皮样囊肿(1)
  • 鞍旁表皮样囊肿(1)
  • 脉络膜裂囊肿(1)

热门日志推荐

  • ·四合清疡汤里有附子、半夏吗?日常用这类草
  • ·白塞病发作与情绪有关?3 个 “情绪调节法
  • 关于我们|
  • 联系我们|
  • 隐私政策|
  • 版权声明|
  • 免责声明|
  • 公司产品|
  • 网站帮助
北京医脉互通公司 版权所有 (京)-非经营性-2018-0300 京公网安备11010502036930 京ICP备13043379号-5 京ICP证130463号 © 2005-2025 medlive.cn, all rights reserved