• 医脉通首页
  • 软件中心
  • 频道导航
    • 资讯
    • 病例
    • 专题
    • 圈子
    • 指南
    • 期刊文献
    • 诊疗知识库
    • e信使
    • e讲堂
    • e调研
    • 会议
    • 医生工具
    • 互助区
  • 登录
  • 注册
格格2的医脉通
日志
  • 资料
  • 说说
  • 话题
  • 收藏
  • 指南
  • 知识库
  • 期刊文献

脑膜黑色素细胞瘤

2012-04-10 阅读(316) 分享(0)

【简要病史】

男,36岁。发作性头晕及耳鸣10天,无恶心、呕吐及发热。体检:右眼结膜充血,右侧面部浅感觉减退。未引出病理反射。

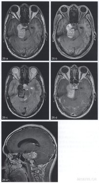
【CT与MRI所见】

T1WI(图26a)显示右侧鞍旁花生状肿物,呈欠均匀高信号,最大径4.lcm,边缘清楚,向颅后窝延伸、压迫脑桥前缘,右侧颈内动脉海绵窦段及Meckel腔显示不清。上述肿物脂肪抑制序列上信号未见降低(图26b)。T2WI上肿物为低信号,周边部为著,内部有斑片状稍高信号,肿物后方脑桥内少许稍长T2信号的水肿(图26c)。增强扫描肿物后部见轻度斑片状强化,脑桥内稍长T2信号区未见增强(图26d,e)。

【手术后病理诊断】

脑膜黑色素细胞瘤。

【病理与临床特点】

原发性黑色素细胞瘤(melanocytoma)明显少于恶性黑色素瘤,常见于眼部,神经系统少见,文献中有少量脑膜、脑实质及脊髓、脊膜黑色素细胞瘤的报道。颅内者起源于柔脑膜,是相对良性的黑色素细胞来源肿瘤,1972年Limas与Tio首次报道并命名为脑膜黑色素细胞瘤( meningeal  melanocytoma)。柔脑膜的黑色素细胞来自胚胎早期的神经嵴,主要分布于颅后窝,因此颅内的黑色素细胞瘤多见于腩干的腹侧及邻近枕骨大孔处。幕上者多见于海绵窦或Meckel腔,为次常见部位。病理学上原发性黑色素细胞瘤呈良性表现,无间变及肿瘤坏死,肿瘤细胞内见棕色的黑素体颗粒,无肿瘤转移,但切除局部可复发。免疫组化显示抗黑色素抗体HMB-45及上皮膜性抗原(EMA)阳性。需要鉴别的两种肿瘤是黑色素性脑膜瘤与黑色素性神经鞘瘤(melanotic schwannoma)。临床上以女性多见,9~71岁均有报道(平均44岁)。

【影像学特点】

CT特点为肿瘤呈平扫境界清楚的高密度肿块,也可为等或略高密度,高密度者增强扫描无强化,等及稍高密度肿块则明显及均匀强化。MRI特点与黑色素颗粒多少有关,黑色素颗粒越多则T1WI信号越高、T2WI信号越低,增强扫描无强化或轻度强化。这种特征性信号改变的原因是黑色素内顺磁性自由基如半醌等所致的顺磁性效应,导致T1与T2弛豫时间缩短。也有作者提出肿瘤内出血造成T.弛豫时间缩短,但病理学检查证明大多数黑色素细胞瘤内并无出血。少数黑色素较少或几乎缺乏,为T1WI均匀等信号及T2WI高信号。

【鉴别诊断】

海绵窦脑膜来源的黑色素细胞瘤鉴别诊断包括:①脑膜瘤与血管外皮瘤:可包绕颈内动脉及压迫海绵窦侧壁的脑神经;②动脉瘤:MRI可见流空信号,MRA及CTA均易于诊断;③海绵窦血管瘤:CT特点也是肿块呈高密度,但MRI特点与黑色素细胞瘤不同,T1WI呈与皮质等信号,T2WI则为明显高信号,增强扫描强化显著;④表皮样囊肿:其MRI信号变化较多,可见T1WI高信号,CT则为相对较低密度、无强化;⑤本例呈哑铃状向颅后窝延伸,还需与神经鞘瘤即三叉神经瘤鉴别,后者一般信号及密度不均匀,强化也不均匀,平扫CT为低密度,T1WI为低信号、T2WI高信号。

【简要讨论】

脑膜黑色素细胞瘤少见,但影像学具有一定特征,其密度及信号特点似黑色素瘤,但起源于脑膜。CT及MRI结合有助于正确诊断。

http://webres.medlive.cn/upload/000/078/886

 

 

 

所属分类: 脑膜黑色素细胞瘤

分享到: QQ空间 新浪微博 人人网 微信 更多
暂无评论
表情  医友
同时分享

格格2

粉丝:1

关注:1

日志分类

  • 全部日志(24)
  • 个人日志(0)
  • 囊性脑膜瘤(1)
  • 小脑血管网状细胞瘤(1)
  • 幕上原始神经外胚层(1)
  • 髓母细胞瘤(1)
  • 脑实质伯基特淋巴瘤(1)
  • 脑淋巴瘤样肉芽肿(1)
  • 脑干胶质瘤(1)
  • 鞍上及松果体区生殖(1)
  • 右小脑半球精原细胞(1)
  • 脑膜黑色素细胞瘤(1)
  • 黑色素瘤(1)
  • 垂体微腺瘤(1)
  • 垂体大腺瘤(1)
  • 侵袭性垂体瘤(1)
  • 颅咽管瘤(1)
  • 海绵窦脑膜海绵状血(1)
  • 斜坡脊索瘤(1)
  • 脑转移瘤(1)
  • 柔脑膜转移瘤(1)
  • 神经节细胞瘤(1)
  • 表皮样囊肿(1)
  • 鞍旁表皮样囊肿(1)
  • 脉络膜裂囊肿(1)

热门日志推荐

  • ·四合清疡汤里有附子、半夏吗?日常用这类草
  • ·白塞病发作与情绪有关?3 个 “情绪调节法
  • 关于我们|
  • 联系我们|
  • 隐私政策|
  • 版权声明|
  • 免责声明|
  • 公司产品|
  • 网站帮助
北京医脉互通公司 版权所有 (京)-非经营性-2018-0300 京公网安备11010502036930 京ICP备13043379号-5 京ICP证130463号 © 2005-2025 medlive.cn, all rights reserved