• 医脉通首页
  • 软件中心
  • 频道导航
    • 资讯
    • 病例
    • 专题
    • 圈子
    • 指南
    • 期刊文献
    • 诊疗知识库
    • e信使
    • e讲堂
    • e调研
    • 会议
    • 医生工具
    • 互助区
  • 登录
  • 注册
格格2的医脉通
日志
  • 资料
  • 说说
  • 话题
  • 收藏
  • 指南
  • 知识库
  • 期刊文献

侵袭性垂体瘤

2012-04-10 阅读(937) 分享(0)

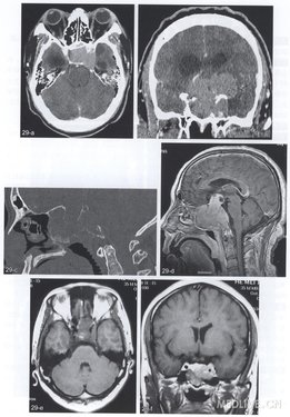
【简要病史】3个病例。例1(图29a,b),男,35岁。左眼失明、右眼视物模糊半年,伴头痛,加重6天。例2(图29c,d),男,57岁。视力下降3个月,体检可见鼻后孑L肿物。例3(图29e,f),女,36岁。头痛6个月,伴左侧面部麻木。
【CT与MRI所见】例1,增强CT(图29a,b)示蝶鞍增大,鞍上池消失,鞍区巨大分叶状明显强化肿物,最大径5.9cm,左侧颈内动脉海绵窦段及以上、左侧大脑中动脉被包绕。例2,矢状位CT重组(图29c)示蝶骨体及斜坡弥漫性破坏。T1WI增强(图29d)鞍底为中心巨大强化性肿物,向后累及斜坡,下方到达鼻咽顶部。例3,轴位T1WI平扫及冠状位增强T1WI(图29e,f)显示鞍内偏左侧等信号及明显强化的肿块,左侧颈内动脉包绕及狭窄。
【手术后病理诊断】侵袭性垂体瘤。
【病理与临床特点】侵袭性垂体瘤(invasive pituitary adenoma,IPA)属于垂体大腺瘤,Jefferson 1940年首次提出,指垂体瘤侵犯周围结构如硬脑膜、海绵窦及其他血管、邻近骨骼、脑、鼻窦。以往认为少见,目前大量临床及影像学经验表明,即使良性垂体腺瘤,也可具有侵袭性,且与肿瘤是否具有内分泌功能无关,文献报道发生率高达34%~60%。有作者认为IPA是垂体腺瘤和垂体癌之间的过渡肿瘤。IPA细胞学表现与其他垂体腺瘤无明显差别,但可见鞍区血管之间、脑膜、脑神经周围、骨质内肿瘤生长,蝶窦填塞,甚至见肿瘤到达鼻咽部、眼眶后部、脑桥前方。临床表现除垂体大腺瘤症状外,还可见面部麻木、头痛、鼻塞、鼻出血等,但内分泌症状常少于垂体微腺瘤。
【影像学特点】鞍区分叶状巨大肿块,以蝶鞍或鞍底为中心,可蔓延至蝶窦一鼻咽顶部、斜坡、单侧或双侧海绵窦、眶尖,向上压迫视交叉、第三脑室、下丘脑,向后上填塞脚间池及桥前池,甚至可压迫大脑脚及脑桥,海绵窦为肿块占据,颈内动脉被包绕。CT多方位重组图像对骨质改变显示较好,增强扫描及CTA能显示肿块与颈内动脉及海绵窦的关系,MRI对IPA侵犯范围显示更佳,并能清楚分辨正常海绵窦强化与肿瘤侵犯,后者强化程度低于正常海绵窦,但必须仔细调节窗值观察,窄窗宽及低窗位可造成漏诊。CT与MRI-般采用Knosp法分级:1级,肿瘤到达颈内动脉内侧壁连线;2级,肿瘤到达颈内动脉中心连线;3级,肿瘤到达颈内动脉外侧壁连线;4级,肿瘤超过颈内动脉外侧壁连线;5级,肿瘤包绕颈内动脉。但该方法未考虑到肿瘤对蝶窦、眶尖、斜坡及脑组织侵犯。
【鉴别诊断】IPA较大时需与下列肿瘤区别:①颅咽管瘤,多为鞍内一鞍上肿块,CT特点为囊实性,可见钙化。MRI信号与囊实性及囊性部分内容物有关。囊壁及实性部分明显强化;②鞍区脑膜瘤,来自鞍结节或鞍隔,密度及信号近似脑实质,增强扫描明显强化,易见脑膜尾征;③脊索瘤,常以蝶枕联合为中心,CT见骨质破坏及残留骨或钙化,MRI为长T1、长T2信号,强化轻微或明显;④鼻咽癌侵犯鞍区,常有颅底孔道破坏,鼻咽腔有肿块;⑤蝶窦癌,肿块以蝶窦为中心,强化不均匀,进展迅速。
【简要讨论】IPA并不少见,影像学诊断中仔细观察鞍区重要结构有无侵犯,CT多方位重组及MRI均可诊断,两者相互补充。巨大IPA应注意与其他肿瘤鉴别。

http://webres.medlive.cn/upload/000/078/898

 

 

 

 

 

所属分类: 侵袭性垂体瘤

分享到: QQ空间 新浪微博 人人网 微信 更多
暂无评论
表情  医友
同时分享

格格2

粉丝:1

关注:1

日志分类

  • 全部日志(24)
  • 个人日志(0)
  • 囊性脑膜瘤(1)
  • 小脑血管网状细胞瘤(1)
  • 幕上原始神经外胚层(1)
  • 髓母细胞瘤(1)
  • 脑实质伯基特淋巴瘤(1)
  • 脑淋巴瘤样肉芽肿(1)
  • 脑干胶质瘤(1)
  • 鞍上及松果体区生殖(1)
  • 右小脑半球精原细胞(1)
  • 脑膜黑色素细胞瘤(1)
  • 黑色素瘤(1)
  • 垂体微腺瘤(1)
  • 垂体大腺瘤(1)
  • 侵袭性垂体瘤(1)
  • 颅咽管瘤(1)
  • 海绵窦脑膜海绵状血(1)
  • 斜坡脊索瘤(1)
  • 脑转移瘤(1)
  • 柔脑膜转移瘤(1)
  • 神经节细胞瘤(1)
  • 表皮样囊肿(1)
  • 鞍旁表皮样囊肿(1)
  • 脉络膜裂囊肿(1)

热门日志推荐

  • ·四合清疡汤里有附子、半夏吗?日常用这类草
  • ·白塞病发作与情绪有关?3 个 “情绪调节法
  • 关于我们|
  • 联系我们|
  • 隐私政策|
  • 版权声明|
  • 免责声明|
  • 公司产品|
  • 网站帮助
北京医脉互通公司 版权所有 (京)-非经营性-2018-0300 京公网安备11010502036930 京ICP备13043379号-5 京ICP证130463号 © 2005-2025 medlive.cn, all rights reserved