• 医脉通首页
  • 软件中心
  • 频道导航
    • 资讯
    • 病例
    • 专题
    • 圈子
    • 指南
    • 期刊文献
    • 诊疗知识库
    • e信使
    • e讲堂
    • e调研
    • 会议
    • 医生工具
    • 互助区
  • 登录
  • 注册
格格2的医脉通
日志
  • 资料
  • 说说
  • 话题
  • 收藏
  • 指南
  • 知识库
  • 期刊文献

斜坡脊索瘤

2012-04-10 阅读(772) 分享(0)

【简要病史】男,55岁。复视伴左眼睑上抬无力1个月。体检:神志清楚,左眼睑下垂,左侧瞳孔缩小,左眼球向内、上及下方活动受限。

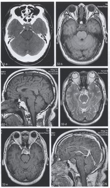
【CT与MRI所见】CT平扫(图32a)显示鞍区偏后、边界欠清的肿块,稍高于脑实质密度,最大径4.0cm,CT值39HU左右,内见斑点状与结节状钙化影,斜坡上端骨质破坏。TiWI(图32b,c)显示肿瘤大部为稍低信号,内见条状及斑点状稍高信号,垂体柄及漏斗受压前缘。双侧颈内动脉轻度包绕。T2WI(图32d)上肿瘤呈不均匀高信号,中央为斑片状稍低信号。增强T1WI(图32e,f)病变不均匀、明显强化,垂体柄及垂体强化正常。

【手术后病理诊断】斜坡脊索瘤。

【病理与临床特点】脊索瘤(chordoma)是一种相对少见的低度恶性肿瘤,具有局部侵袭性,起源于脊索残余,斜坡是其好发部位,仅次于骶尾部。脊索瘤约占颅内肿瘤1%,颅内者占所有病例1/3。斜坡脊索瘤可位于其上部(蝶骨基底部)及斜坡前缘(枕骨基底部),也可位于斜坡后外侧(颞骨岩尖),少数见于邻近的蝶窦、鞍区,甚至鼻咽部,罕见于鼻窦及硬膜下。可发生于任何年龄,但以40岁左右男性多见。肿瘤生长缓慢,但由于其邻近为多种重要结构,因此预后并不理想。最常见临床表现为复视,其他症状包括脑神经麻痹、头痛。

【影像学特点】影像学特点是斜坡及其邻近的软组织肿块,斜坡或其部分骨质破坏,肿瘤呈膨胀性生长,可见残留骨或钙化。CT表现为斜坡中线区伴膨胀性骨破坏的软组织肿块,边缘清楚,瘤内不规则残留骨或营养不良性钙化。增强扫描轻度到明显强化,不强化区代表黏液样或胶样基质。MRI对肿瘤与邻近结构关系的显示优于CT,但骨质改变及瘤内钙化判断不如CT。由于斜坡骨髓高信号的对照,T1WI可清楚显示肿瘤呈轻度低信号及等信号肿块,瘤内出血或黏液成分表现为高信号,此时行T2*WI或SWI可鉴别两者(出血为低信号)。T2WI上肿瘤为高信号,其病理基础为瘤内含水较多及瘤细胞呈空泡状,肿瘤钙化、出血及黏液样区域为不均匀低信号,有时可见肿瘤内低信号分隔样改变及肿瘤分叶征。增强T1WI显示中度至明显强化,少数轻微强化或无强化,不强化的低信号区使肿瘤呈蜂窝状外观。脂肪抑制技术有利于区别肿瘤强化与斜坡骨髓。软骨样脊索瘤预后较好,其MRI特点为内见短T1、长T2信号成分。脊索瘤对颅内血管如颈内动脉及基底动脉等推移、包绕及狭窄,CTA与MR检查(MRI 与MRA)均可清楚显示。脊索瘤术后易复发,但很少出现颅外转移。

【鉴别诊断】包括:①软骨肉瘤:常偏中线分布,内见线状、结节状或环形骨化;②脑膜瘤:脑膜尾征及明显、均匀强化,无骨质破坏;③鼻咽部恶性肿瘤:可侵犯斜坡骨质,但主体位于鼻咽部黏膜或黏膜下,易出现颈淋巴结转移;④侵袭性垂体瘤:可广泛破坏鞍区骨质,包括鞍背及斜坡,无钙化,T2WI显示腺泡样高信号,增强扫描强化明显;⑤转移瘤:成人颅外恶性肿瘤可侵犯斜坡,包括肾癌、肝癌及肺癌。乳腺癌,一般强化明显,合并其他部位转移灶。

【简要讨论】斜坡脊索瘤可位于斜坡或其附近,CT与MRI多方位成像有助于判断肿瘤中心位置,影像学上具有一定特点。

http://webres.medlive.cn/upload/000/078/925

 

 

 

所属分类: 斜坡脊索瘤

分享到: QQ空间 新浪微博 人人网 微信 更多
暂无评论
表情  医友
同时分享

格格2

粉丝:1

关注:1

日志分类

  • 全部日志(24)
  • 个人日志(0)
  • 囊性脑膜瘤(1)
  • 小脑血管网状细胞瘤(1)
  • 幕上原始神经外胚层(1)
  • 髓母细胞瘤(1)
  • 脑实质伯基特淋巴瘤(1)
  • 脑淋巴瘤样肉芽肿(1)
  • 脑干胶质瘤(1)
  • 鞍上及松果体区生殖(1)
  • 右小脑半球精原细胞(1)
  • 脑膜黑色素细胞瘤(1)
  • 黑色素瘤(1)
  • 垂体微腺瘤(1)
  • 垂体大腺瘤(1)
  • 侵袭性垂体瘤(1)
  • 颅咽管瘤(1)
  • 海绵窦脑膜海绵状血(1)
  • 斜坡脊索瘤(1)
  • 脑转移瘤(1)
  • 柔脑膜转移瘤(1)
  • 神经节细胞瘤(1)
  • 表皮样囊肿(1)
  • 鞍旁表皮样囊肿(1)
  • 脉络膜裂囊肿(1)

热门日志推荐

  • ·四合清疡汤里有附子、半夏吗?日常用这类草
  • ·白塞病发作与情绪有关?3 个 “情绪调节法
  • 关于我们|
  • 联系我们|
  • 隐私政策|
  • 版权声明|
  • 免责声明|
  • 公司产品|
  • 网站帮助
北京医脉互通公司 版权所有 (京)-非经营性-2018-0300 京公网安备11010502036930 京ICP备13043379号-5 京ICP证130463号 © 2005-2025 medlive.cn, all rights reserved