• 医脉通首页
  • 软件中心
  • 频道导航
    • 资讯
    • 病例
    • 专题
    • 圈子
    • 指南
    • 期刊文献
    • 诊疗知识库
    • e信使
    • e讲堂
    • e调研
    • 会议
    • 医生工具
    • 互助区
  • 登录
  • 注册
格格2的医脉通
日志
  • 资料
  • 说说
  • 话题
  • 收藏
  • 指南
  • 知识库
  • 期刊文献

脑转移瘤

2012-04-10 阅读(355) 分享(0)

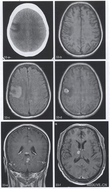
【简要病史】4个病例。例1(图33a~e),女,54岁。乳腺癌术后1年,头痛、言语不清、肢体麻木1周。例2(图33f,g),男,59岁。头痛2个月。例3(图33h),女,50岁。头痛、右听力下降1个月。例4(图33i),右侧颈部恶性黑色素瘤术后2个月头痛。

【CT与MRI所见】例l(图33a),CT平扫显示右侧额叶局限性低密度灶。T1WI(图33b)病变呈圆形,边缘信号较高。FLAIR序列(图33c)幕L脑实质多发高信号灶。增强T1Wl(图33d,e)幕上、下脑实质多发结节状及点状强化灶。例2,轴位增强T1WI(图33f)右丘脑腹内侧结节状明显强化灶。胸部CT(图33g)显示左肺尖结节。例3,轴位T2WI(图33h),右侧桥臂稍高信号肿块。例4,矢状位T1WI(图33i)显示右侧额叶类圆形病变,内见高信号成分。

【手术后病理诊断】例1,乳腺癌脑实质多发转移。例2,细支气管肺泡癌右侧丘脑转移。例3,右侧桥臂转移瘤(来源不明)。例4,右额叶恶性黑色素瘤转移。

【病理与临床特点】脑实质转移瘤( parenchymal  metastases)是颅内最常见肿瘤(约50%)。原发肿瘤依次为肺癌、乳腺癌、胃肠道及泌尿道癌、恶性黑色素瘤。据统计,恶性肿瘤尸解脑转移率达25% 。病理典型表现为境界清楚的结节或肿块,囊性者内部为出血、坏死及黏液样物,瘤周水肿明显,常见间变、坏死及血管增生。好发于中老年患者。常多发(60%~85%),少数单发。典型部位为幕上脑实质皮髓质交界区( 80%),幕下约占15%。大小为肉眼难以分辨到数厘米。临床表现差异较大,包括头痛、呕吐、视盘水肿、抽搐、局部神经功能障碍。

【影像学特点】脑实质皮髓质交界区单发或多发结节及肿块,灶周显著血管源性水肿,局部脑回肿胀及脑沟变浅,实性或环状强化。CT平扫一般为等密度,周围环绕较大范围低密度影,少数结节为高密度(见于肺癌、黑色素瘤、绒癌、肾细胞癌、小圆细胞肿瘤、乳腺癌等)。

钙化率约5%或更低,肺癌及乳腺癌最常见。增强扫描显著强化,双倍剂量对比剂增强有助于发现更多转移灶。另外,增强扫描需行延迟扫描,若注射对比剂后立即扫描,漏诊率可达10%左右。MRI上转移瘤信号根据是否出血而有不同。T1WI上非出血性者为稍低信号,黑色素瘤及出血性转移瘤为高信号。T2WI上多为高信号,显示为皮髓质交界处或白质内单发或多灶性局部高信号。但黏液性肿瘤及核质比较大的肿瘤可为T2WI低信号,出血时也可显示低信号成分。FLAIR上一般为高信号。T2*WI与SWI上瘤内出血呈低信号。增强T1WI是检出脑转移瘤最佳手段,尤其是双倍剂量对比剂增强加磁化传递技术最为敏感,典型表现为脑实质多发结节状、点状及环状强化,可显示合并的脑膜转移。DWI-般无扩散受限,ADC值增大。MRS上Cho明显升高,可有Lac与Lip峰。CT与MR灌注成像可见CBV与PS增大。

【鉴别诊断】①脑脓肿:感染症状,增强扫描环内壁光整,DWI扩散受限及ADC值降低;②高级别星形细胞瘤与间变性少突胶质细胞瘤:浸润性更强,界限不清,位置深在,DWI扩散受限;③脑梗死:位于某一血管分布区,一般无环形强化,DWI上扩散受限,CTA与MRA显示血管闭塞或狭窄;④多发性硬化:好发于脑室旁白质,胼胝体及穹隆受累,增强扫描呈条状、马蹄状强化,患者较年轻。

【简要讨论】本病常见,有时甚至先发现脑转移,而后才检出原发瘤。最佳影像学检查为CT 与MRI增强扫描,双倍甚至三倍剂量对比剂及延迟扫描效果更佳。

http://webres.medlive.cn/upload/000/078/927

http://webres.medlive.cn/upload/000/078/929

 

 

 

所属分类: 脑转移瘤

分享到: QQ空间 新浪微博 人人网 微信 更多
暂无评论
表情  医友
同时分享

格格2

粉丝:1

关注:1

日志分类

  • 全部日志(24)
  • 个人日志(0)
  • 囊性脑膜瘤(1)
  • 小脑血管网状细胞瘤(1)
  • 幕上原始神经外胚层(1)
  • 髓母细胞瘤(1)
  • 脑实质伯基特淋巴瘤(1)
  • 脑淋巴瘤样肉芽肿(1)
  • 脑干胶质瘤(1)
  • 鞍上及松果体区生殖(1)
  • 右小脑半球精原细胞(1)
  • 脑膜黑色素细胞瘤(1)
  • 黑色素瘤(1)
  • 垂体微腺瘤(1)
  • 垂体大腺瘤(1)
  • 侵袭性垂体瘤(1)
  • 颅咽管瘤(1)
  • 海绵窦脑膜海绵状血(1)
  • 斜坡脊索瘤(1)
  • 脑转移瘤(1)
  • 柔脑膜转移瘤(1)
  • 神经节细胞瘤(1)
  • 表皮样囊肿(1)
  • 鞍旁表皮样囊肿(1)
  • 脉络膜裂囊肿(1)

热门日志推荐

  • ·四合清疡汤里有附子、半夏吗?日常用这类草
  • ·白塞病发作与情绪有关?3 个 “情绪调节法
  • 关于我们|
  • 联系我们|
  • 隐私政策|
  • 版权声明|
  • 免责声明|
  • 公司产品|
  • 网站帮助
北京医脉互通公司 版权所有 (京)-非经营性-2018-0300 京公网安备11010502036930 京ICP备13043379号-5 京ICP证130463号 © 2005-2025 medlive.cn, all rights reserved