• 医脉通首页
  • 软件中心
  • 频道导航
    • 资讯
    • 病例
    • 专题
    • 圈子
    • 指南
    • 期刊文献
    • 诊疗知识库
    • e信使
    • e讲堂
    • e调研
    • 会议
    • 医生工具
    • 互助区
  • 登录
  • 注册
格格2的医脉通
日志
  • 资料
  • 说说
  • 话题
  • 收藏
  • 指南
  • 知识库
  • 期刊文献

神经节细胞瘤

2012-04-10 阅读(216) 分享(0)

【简要病史】女,23岁。无明昆诱因下间断头痛伴呕吐1个月,呕吐呈喷射状,伴恶心,无抽搐及发热。体检:神志清楚,未引出病理反射。实验室检查未见异常。

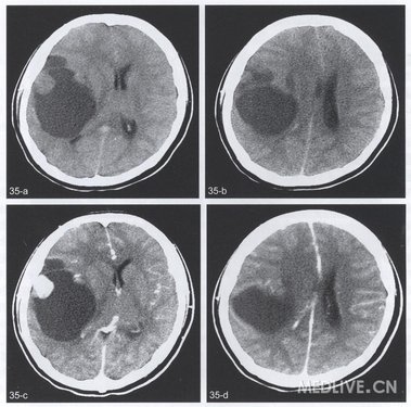
【CT与MRI所见】CT平扫(图35a,b)示右侧颞顶叶巨大囊性低密度病灶,CT值19HU,最大径7.0cm,边界清楚,左前外侧壁有两处切迹样改变。外侧囊壁上见一结节状均匀等密度软组织肿块,长径2.Ocm,CT值38HU,该肿块前内侧囊内另见一菲薄分隔样改变。灶周未见低密度带。骨窗显示病变邻近颅骨无破坏、增生及变形。CT增强扫描(图35c,d)上述外侧壁结节显著强化,稍不均匀,CT值达103HU,其余部分囊壁及平扫所见囊内低密度及分隔均无明显强化。病变前内侧可见强化的右侧大脑中动脉及侧裂分支受压内移。

【手术后病理诊断】右额颞叶神经节细胞瘤。

【病理与临床特点】神经节细胞瘤来源于神经元,属于神经元与混合性神经元一神经胶质起源

肿瘤,又称为神经节神经瘤( ganglioneuroma),WHO I级,可能是错构瘤样病变。国内发病率不详,国外报道其与神经节胶质瘤共占中枢神经系统原发肿瘤0.50%~1%,单纯神经节细胞瘤仅为0.1%。多单发,为囊性或囊实性,病变境界清楚,生长缓慢,邻近颅骨者可压迫骨质导致骨吸收与变形。最常累及部位是颞叶,其次是额叶与顶叶,其他包括基底核、丘脑、第三脑室底、垂体及小脑等。病理学特征为瘤细胞大小与形态各异,神经元胞核大、泡状,核仁突出,胞体周围突起混乱、无规则伸展,并见异常走行神经纤维。嗜银染色可见双极突起细胞。好发于青少年,无明显性别差异。临床上最多见的表现是抽搐。

【影像学特点】影像学典型表现为囊性病变与壁结节。CT与MRI均显示肿瘤位于脑表浅部位,较大者占位效应明显,但一般无水肿,病变境界清楚。壁结节紧贴脑膜面,呈CT等或稍高密度、MRI上为稍长T1长T2信号,有时为T2WI低信号,认为其原因是肿瘤细胞核质比较大。囊性部分为CT低密度,MRI长T1、长T2信号,类似脑脊液。增强扫描多不强化,少数强化显著。有些病例可见颅骨变形与吸收。本病可伴脑发育异常,包括巨脑回及脑发育不良等征象。

【鉴别诊断】包括所有累及大脑半球表浅部位的肿瘤。①神经节胶质瘤:含神经节细胞与胶质细胞成分,后者则无肿瘤性胶质细胞,也多见于颞叶,密度/信号混杂,约50%有均匀或不均质强化;②多形性黄色星形细胞瘤:发病部位、影像学特点及年龄均与神经节细胞瘤类似,术前鉴别困难;③毛细胞型星形细胞瘤:也可呈囊性病变伴强化显著的壁结节,但好发于幕下,幕上者多累及第三脑室周围;④少支胶质瘤:好发于额叶,70%以上见粗大条状与片状钙化,年龄较大,诊断不难;⑤少数贴近脑膜的神经节细胞瘤可出现脑膜尾征、形似脑膜瘤,但脑膜瘤具有典型的密度与信号、强化特征,多见于中年以上女性,与神经节细胞瘤不同;⑥位于垂体及下丘脑的神经节细胞瘤:需与下丘脑错构瘤、垂体瘤鉴别。垂体神经节细胞瘤65% 伴垂体腺瘤,临床上可见肢端肥大,神经节细胞瘤侵犯下丘脑,可资鉴别。但下丘脑神经节细胞瘤的部位、密度及信号特点、强化表现均与错构瘤相似,术前影像学检查不能区别,最后诊断有赖于病理检查。

【简要讨论】本病见于青少年,具有典型好发部位和一定特征,术前能够提示诊断,常需与其他累及脑表浅部位的肿瘤鉴别。

http://webres.medlive.cn/upload/000/078/934

 

 

所属分类: 神经节细胞瘤

分享到: QQ空间 新浪微博 人人网 微信 更多
暂无评论
表情  医友
同时分享

格格2

粉丝:1

关注:1

日志分类

  • 全部日志(24)
  • 个人日志(0)
  • 囊性脑膜瘤(1)
  • 小脑血管网状细胞瘤(1)
  • 幕上原始神经外胚层(1)
  • 髓母细胞瘤(1)
  • 脑实质伯基特淋巴瘤(1)
  • 脑淋巴瘤样肉芽肿(1)
  • 脑干胶质瘤(1)
  • 鞍上及松果体区生殖(1)
  • 右小脑半球精原细胞(1)
  • 脑膜黑色素细胞瘤(1)
  • 黑色素瘤(1)
  • 垂体微腺瘤(1)
  • 垂体大腺瘤(1)
  • 侵袭性垂体瘤(1)
  • 颅咽管瘤(1)
  • 海绵窦脑膜海绵状血(1)
  • 斜坡脊索瘤(1)
  • 脑转移瘤(1)
  • 柔脑膜转移瘤(1)
  • 神经节细胞瘤(1)
  • 表皮样囊肿(1)
  • 鞍旁表皮样囊肿(1)
  • 脉络膜裂囊肿(1)

热门日志推荐

  • ·四合清疡汤里有附子、半夏吗?日常用这类草
  • ·白塞病发作与情绪有关?3 个 “情绪调节法
  • 关于我们|
  • 联系我们|
  • 隐私政策|
  • 版权声明|
  • 免责声明|
  • 公司产品|
  • 网站帮助
北京医脉互通公司 版权所有 (京)-非经营性-2018-0300 京公网安备11010502036930 京ICP备13043379号-5 京ICP证130463号 © 2005-2025 medlive.cn, all rights reserved