• 医脉通首页
  • 软件中心
  • 频道导航
    • 资讯
    • 病例
    • 专题
    • 圈子
    • 指南
    • 期刊文献
    • 诊疗知识库
    • e信使
    • e讲堂
    • e调研
    • 会议
    • 医生工具
    • 互助区
  • 登录
  • 注册
格格2的医脉通
日志
  • 资料
  • 说说
  • 话题
  • 收藏
  • 指南
  • 知识库
  • 期刊文献

脉络膜裂囊肿

2012-04-10 阅读(1008) 分享(0)

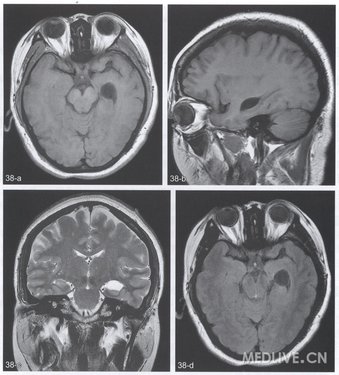
【简要病史】女,40岁。头痛及头部憋胀感1年余,无恶心、呕吐,外院CT显示“左颞叶低密度病变”。神经系统体检无阳性体征。

【CT与MRI所见】左侧颞叶内侧的海马与间脑之间椭圆形T1WI低信号及T2WI高信号病变,FLAIR序列呈低信号,大小为3cm×2cm×2.8cm,边缘清楚,灶周无水肿,邻近脑实质受压(图38a~d)。

【手术后病理诊断】脉络膜裂囊肿。

【病理与临床特点】脉络膜裂囊肿(choroid fissure cyst)属于所谓神经上皮囊肿(neuroepithelial cysts),该类囊肿还包括室管膜囊肿、脉络丛囊肿。起源尚不明确,其上皮可能来自神经外胚层细胞,具有室管膜或脉络丛上皮分化特征。病理学上囊肿边缘清楚,呈圆形或椭圆形。镜下囊肿内衬上皮具有原始室管膜及脉络丛的特点,缺乏基底膜,免疫组织化学检查胶质酸性蛋白(GFAP)强阳性,囊液清亮。本病是神经影像学检查常见的偶然发现,一般无症状,有作者称脑MRI检查其发现率高达10%,尸解发现率更高。可见于各年龄段,无明显性别差异。

【影像学特点】影像学特点为海马、间脑及中脑之间边缘清楚的圆形或椭圆形,甚至梭形的脑脊液样病变,邻近脑实质可见受压移位,但无灶周水肿。CT表现为均匀水样密度,无钙化,注射对比剂后无强化。典型MRI表现为类似脑脊液信号的T1WI低信号及T2WI高信号的囊状病变,边缘清楚,FLAIR序列为低信号,DWI图像上扩散无受限。无瘤周水肿、胶质增生等征象。增强T1WI上囊壁及囊内均无强化,但可见强化的颞角脉络丛受压变形。

【鉴别诊断】本病需与脑内软化灶、颞叶囊性肿瘤、表皮样囊肿、脑囊虫病等鉴别。①软化灶:一般形态不规则,周围可见胶质增生的异常信号,局部脑沟增宽,侧脑室颞角扩大;②囊性肿瘤:密度及信号一般不均匀,增强扫描其实性部分及囊壁常有强化,MRS可见Cho及Lac峰增高;③表皮样囊肿:向脉络膜裂延伸需与脉络膜裂囊肿区别,但前者密度及信号不均匀,且主体位于脉络膜裂之外,FLAIR及DWI上信号明显不均匀,扩散受限;④脑囊虫病:多小于2cm,常多发,CT上可见钙化,囊内有头节,MRI显示最佳,囊虫死亡后增强扫描囊壁与头节可见强化,灶周显示一定程度水肿。

【简要讨论】脉络膜裂囊肿是颅内最常见的囊性病变之一,因位于典型部位和具有一定的形态特征,易于诊断,  一般常规CT与MRI即足以确定诊断,MRI多方位对病变显示最佳,CT与MRI增强扫描、FLAIR序列、DWI有助于与其他囊性病变鉴别。

http://webres.medlive.cn/upload/000/078/945

所属分类: 脉络膜裂囊肿

分享到: QQ空间 新浪微博 人人网 微信 更多
暂无评论
表情  医友
同时分享

格格2

粉丝:1

关注:1

日志分类

  • 全部日志(24)
  • 个人日志(0)
  • 囊性脑膜瘤(1)
  • 小脑血管网状细胞瘤(1)
  • 幕上原始神经外胚层(1)
  • 髓母细胞瘤(1)
  • 脑实质伯基特淋巴瘤(1)
  • 脑淋巴瘤样肉芽肿(1)
  • 脑干胶质瘤(1)
  • 鞍上及松果体区生殖(1)
  • 右小脑半球精原细胞(1)
  • 脑膜黑色素细胞瘤(1)
  • 黑色素瘤(1)
  • 垂体微腺瘤(1)
  • 垂体大腺瘤(1)
  • 侵袭性垂体瘤(1)
  • 颅咽管瘤(1)
  • 海绵窦脑膜海绵状血(1)
  • 斜坡脊索瘤(1)
  • 脑转移瘤(1)
  • 柔脑膜转移瘤(1)
  • 神经节细胞瘤(1)
  • 表皮样囊肿(1)
  • 鞍旁表皮样囊肿(1)
  • 脉络膜裂囊肿(1)

热门日志推荐

  • ·四合清疡汤里有附子、半夏吗?日常用这类草
  • ·白塞病发作与情绪有关?3 个 “情绪调节法
  • 关于我们|
  • 联系我们|
  • 隐私政策|
  • 版权声明|
  • 免责声明|
  • 公司产品|
  • 网站帮助
北京医脉互通公司 版权所有 (京)-非经营性-2018-0300 京公网安备11010502036930 京ICP备13043379号-5 京ICP证130463号 © 2005-2025 medlive.cn, all rights reserved